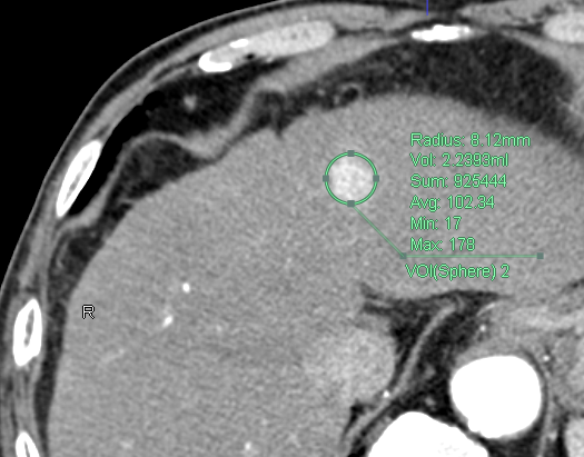
VOI
関心領域(Volume of Interes)
画像の中で認識処理を適用したい範囲、特定の領域のことです。
ROIとほぼ同義であり、3次元的な(z軸方向も含めた)範囲や領域のことを指します。
TIPS
REVORASやZiostation2では、球形のVOIが使用可能です。

関連記事
-
2020/09/29
講演動画 | 胸部領域
「こんな画像が欲しかった」が現実に!外科医目線の最新3D 画像シミュレーション
共催 共催 第37回日本呼吸器外科学会学術集会 / ザイオソフト株式会社 配信ページURLをメールにてご連絡いたしますので、 下記よりメールアドレスをご登録ください。
-
2022/04/17
講演動画 | すべての領域
Opening the Future
― 未来を見据えたこれからのポストプロセシング共催 共催 第81回日本医学放射線学会総会 / ザイオソフト株式会社 配信ページURLをメールにてご連絡いたしますので、 下記よりメールアドレスをご登録ください。
-
2023/04/13
臨床使用例 | その他の領域
体幹部・四肢領域におけるREVORASの使用感とその評価
キーワード: レンブラント, トランススペアレンシー, 整形外科 REVORASでは、Ziostation2の機能に加え、これまでにない新たな表現方法(レンブラントやトランスペアレンシー)が搭載。本稿...
各種ご依頼・お問い合わせ
各WEBフォームよりお申し込みください。